
Your Smile Is In Your Hands

Invisalign stands as an exceptional choice for adults desiring a straighter smile, offering a blend of effectiveness and subtlety. These nearly imperceptible aligners are customized to cater to your specific dental requirements, gently guiding your teeth toward alignment. What sets Invisalign apart? It seamlessly integrates with your daily life, ensuring no disruption to your regular routines, enabling you to fully embrace the benefits of this discreet solution.
The primary benefit? Your everyday schedule stays undisturbed, enabling you to persist in relishing your preferred pastimes and savoring the foods you adore. Even better, there's no need for unexpected trips to our clinic because of broken wires or brackets. Invisalign's easily removable aligners simplify oral care, and the absence of wires and brackets ensures a pain-free and risk-free experience. When choosing Invisalign for adults, you can confidently enhance your smile discreetly while enjoying life to the utmost, assured that your quest for a flawlessly aligned smile will be convenient and trouble-free.
Exclusive Offers

Free Consultation
Free Digital Smile Prediction
Free Retainers with Treatment
Take Home Whitening kit
Treatment Process
The Aligners
The Transformation
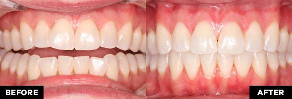
Before & Afters



